CASE REPORT
Cardiac tamponade due to anorexia nervosa in young women: A case study
More details
Hide details
1
Andrzej Frycz Modrzewski Krakow University
2
Krakow Specialist Hospital Them. St. John Paul II
3
Jagiellonian University Medical College
These authors had equal contribution to this work
Submission date: 2024-05-16
Final revision date: 2024-10-16
Acceptance date: 2024-10-16
Publication date: 2025-01-31
Medicine and Public Health 2024;2(1):1-10
KEYWORDS
TOPICS
ABSTRACT
Background:
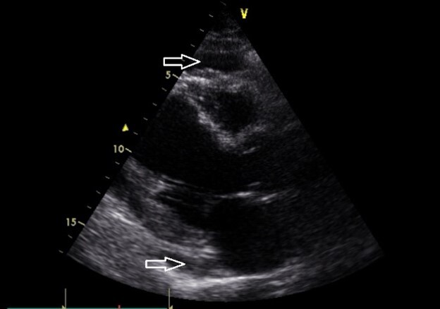
We present two cases of pericardiocentesis due to anorexia nervosa in young women.
Material and methods:
A twenty-year-old and a twenty-four-year-old female with a history of anorexia nervosa were admitted to the cardiac surgery department due to pericardial effusions.
Results:
Both cases needed urgent pericardiectomy. Our patients did not show any signs of acute heart failure during the hospitalization. Due to their primary diagnosis, they needed psychological support and their food intake required monitoring.
Conclusions:
Pericardial effusions are common in adolescent AN patients, and echocardiography monitoring is necessary to prevent the progression of acute cardiac tamponade.